38/1618, Ground floor, Kannanthodath Ln, Metro pillar no: 453, Edappally, Cochin-24.
Accuracy in Every Angle
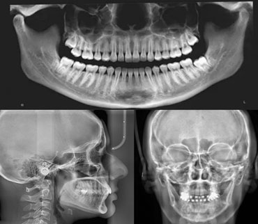
Dental Imaging Services
2D Imaging & 3D Imaging
image 360 diagonostics
Who We are

Image360 Diagnostics
has established

a specialized centre in Cochin dedicated to Cone Beam 3D Imaging and 2D Panoramic X-ray. Our team of expert maxillofacial radiologists and medical radiologists provides highly accurate diagnosis.

About Us

Image360 Diagnostics is an advanced imaging centre in Cochin which pioneers the latest technologies for diagnosis. The landscape of healthcare is undergoing a dramatic transformation, fueled by rapid advancements in medical technology.

View Details